Consequências da má oclusão dentária
Consequências da má oclusão dentária
Consequências da má oclusão dentária

Consequências da má oclusão dentária

Quais as consequências de um mau posicionamento dentário na saúde em geral?

Quando se fala de um mau posicionamento dentário, como por exemplo, dentes desalinhados, fala-se de um problema de oclusão dentária.

A oclusão dentária representa a forma como a arcada dentária superior e inferior se contactam e articulam. Em geral, os dentes superiores são maiores que os inferiores, proporcionando o encaixe ideal. Reconhece-se um padrão de oclusão dentária ideal quando os dentes superiores cobrem levemente os dentes de baixo. Um desequilíbrio nessa conformação pode revelar uma má oclusão dentária, um desalinhamento ou um mau encaixe entre as arcadas. Este problema pode afetar os dentes, os maxilares, as gengivas, os ligamentos, as articulações e até mesmo os ossos faciais. Assim sendo, pode interferir em funções fisiológicas importantes, como a mastigação e fonética.

A medicina dentária tem um papel na procura e restabelecimento do melhor funcionamento possível do sistema estomatológico, para preservar e manter uma boa saúde oral. 

A oclusão dentária correta evita que sejam feitos, por exemplo, esforços excessivos durante o processo de trituração de alimentos. Assim, o ato de morder ou simples mastigar poderia tornar-se desconfortável e até doloroso para quem sofre de má oclusão

Causas de uma má oclusão dentária

Hábito tardio no uso de chupetas ou até mesmo chuchar o dedo durante a infância interfere no desenvolvimento e posicionamento ideal da arcada dentária;
► Mastigação incorreta; 
► Hereditariedade;
► Problemas de má formação do esqueleto ou crescimento dos ossos da face;
► Acidentes provocando deslocamento da mandíbula;
► Bruxismo (hábito de apertar e ranger os dentes);
► Macroglossia (Língua maior que o tamanho normal relativamente a cavidade oral);
► Doenças gengivais;
► Perda de dentes.

Sinais de uma má oclusão dentária

Alguns sintomas podem indicar a necessidade de avaliação da oclusão por um profissional. Portanto, é bom agir rapidamente quando observar:
► Dificuldade ou desconforto para mastigar ou falar;
► Falta de encaixe entre os maxilares;
► Dores de cabeça ou de ouvidos, sem outro motivo;
► Mudança na harmonia e estética da face;
► Dentes desgastados, raízes expostas ou sensíveis ao frio.

Consequências da má oclusão

A má oclusão pode gerar diversas consequências, relacionadas diretamente com o dente ou com as outras estruturas do sistema estomatológico, como por exemplo:
► Problemas na articulação temporomandibular;
► Maior desgaste dentário;
► Aumento do risco de doenças orais, como cárie, gengivite (inflamação das gengivas), etc;
► Má postura e problemas na coluna;
► Perda precoce dos dentes definitivos por fratura, perda de osso, etc.

Tratamentos para a má oclusão dentária
Alguns tratamentos podem ser eficazes na prevenção ou podem ser utilizados quando as alterações e problemas ainda são pequenos e bem específicos:  
Recontorno dos dentes
Utilizado para modificar uma ou mais peças dentárias que podem estar um pouco maiores, mais bicudas ou ligeiramente rodadas. Consiste em esculpir o dente natural de tal forma que esteja alinhado e adequado aos demais.
Adesão e restauração dentária
Corrige as situações de pequenos defeitos provocados por lascas, desgaste ou aparecimento de espaços irregulares entre os dentes. Apesar de não tratar diretamente a má oclusão dentária, pode prevenir uma situação posterior de encaixe desequilibrado.
Coroas dentárias, Facetas ou Incrustações (Overlays)
Procedimento para recobrir dentes desgastados pela passagem do tempo ou pelo atrito devido ao bruxismo, dentes fraturados ou muito reconstruídos. Tal como no caso do recontorno ou da adesão e restaurações dentárias, este é também um procedimento preventivo.
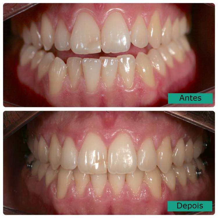
Ortodontia
É a especialidade da medicina dentária que cuida especificamente das correções de má oclusão dentária efetiva. Trata a boca como um todo, movendo as peças dentárias desalinhadas, de forma permanente e definitiva. 
Dependendo da gravidade da situação, por vezes pode ser necessária a remoção de dentes ou colocação de prótese, para um posicionamento correto. Em casos bem mais graves, a cirurgia ortognática pode ser indicada, para organizar e posicionar corretamente também os ossos da face.
 
Uma oclusão dentária correta garante o melhor funcionamento de todas as atividades da cavidade oral (mastigação, fonética, deglutição, etc). Por essa razão é tão importante que em situações de presença de dentes desalinhados e má oclusão procure ajuda do seu dentista de forma a realizar um tratamento profissional que permita a correção precoce deste problema e das suas consequências, muitas vezes irreversíveis.

Edição de vídeo e fotografia | Bruno Seabra

Veja também | 

A Gravidez Enfraquece os Dentes?

Há idade certa para começar a ir ao dentista?

www.clinicadomarques.pt